Ellenbogenverletzungen und -frakturen
Begutachtet von Dr. Colin Tidy, MRCGPZuletzt aktualisiert von Dr. Hayley Willacy, FRCGP Zuletzt aktualisiert am 27. Juni 2024
Erfüllt die Anforderungen des Patienten redaktionelle Richtlinien
- HerunterladenHerunterladen
- Teilen Sie
- Sprache
- Diskussion
Medizinisches Fachpersonal
Professionelle Referenzartikel sind für Angehörige der Gesundheitsberufe bestimmt. Sie wurden von britischen Ärzten verfasst und basieren auf Forschungsergebnissen, britischen und europäischen Leitlinien. Vielleicht finden Sie den Artikel Unterarmverletzungen und -frakturen oder einen unserer anderen Gesundheitsartikel nützlicher.
In diesem Artikel:
Der Oberarmknochen (Humerus) und die paarige Speiche (Radius) und Elle (Ulna) des Unterarms treffen aufeinander und bilden das Ellenbogengelenk, ein Scharniergelenk des Oberarms. Der knöcherne Vorsprung an der Spitze des Ellenbogens ist der Olekranonfortsatz der Elle. Die Fossa antecubitalis liegt über dem vorderen Teil des Ellenbogens.
Verletzungen des Ellenbogens sind häufig, treten in der Regel als Folge eines indirekten Traumas auf und gehen häufig mit Verletzungen der Schulter- oder Handgelenke einher.1 Es ist wichtig, Verletzungen unter Berücksichtigung des Alters und des Verletzungsmechanismus umgehend und genau zu beurteilen, insbesondere wegen des Risikos einer begleitenden Gefäßbeteiligung. Der Ellbogenstreckungstest ist ein nützliches Screening-Instrument für knöcherne Verletzungen - wenn auch nicht unfehlbar.23
Zusätzlich zu den in der nachstehenden Tabelle aufgeführten Verletzungen siehe auch die separaten Artikel Unterarmverletzungen und -frakturen (behandelt Monteggia-Frakturen), Radiuskopfsubluxation (Schwesternellenellenbogen), Tennis- und Golferellenbogen und Schleimbeutelentzündung des Olekranons.
Lesen Sie unten weiter
Der Mechanismus der Verletzung
Aufgrund des Vorhandenseins von drei Knochen und der verschiedenen Verletzungsmechanismen gibt es eine Vielzahl von möglichen Verletzungen.
Frakturen des Radiuskopfes und des Radiushalses | Auf eine ausgestreckte Hand fallen |
Olekranonfrakturen | Ältere Menschen - indirektes Trauma durch Zug am Trizeps und Brachioradialis Kinder - direkter Schlag auf den Ellbogen |
Frakturen des Processus coronoideus | Sturz auf einen ausgestreckten Ellenbogen wie bei einer Ellenbogenverrenkung |
Frakturen des distalen Oberarmknochens | Auf eine ausgestreckte Hand fallen |
Interkondyläre Frakturen | Direkter oder indirekter Schlag auf den Ellbogen |
Frakturen des Kondylus | Direkter Schlag auf einen gebeugten Ellbogen |
Fraktur des Kapitells | Sturz auf eine ausgestreckte Hand oder direktes Trauma |
Luxation des Ellenbogens | Sturz auf einen ausgefahrenen Ellbogen Häufig im Sport bei jungen Menschen |
Frakturen des Radiuskopfes und des Radiushalses4
Mechanismus der Verletzung
Diese werden am häufigsten durch einen Sturz auf einen ausgestreckten Arm verursacht. Die Radiusköpfchenfraktur ist die häufigste Fraktur im Bereich des Ellenbogengelenks bei Erwachsenen, während Radiushalsfrakturen häufiger bei Kindern auftreten.
Klinische Merkmale
Der Patient stellt sich mit einer Schwellung über dem seitlichen Ellenbogen und eingeschränktem Bewegungsumfang vor, insbesondere bei Rotation des Unterarms und Streckung des Ellenbogens ± Ellenbogenerguss und Bluterguss. Die Schmerzen nehmen bei passiver Rotation zu.
Das zuverlässigste klinische Zeichen ist ein Druckschmerz über dem Radiuskopf.
Es muss sorgfältig geprüft werden, ob Nerven und Gefäße betroffen sind, insbesondere die Arteria brachialis, der Nervus medianus und der Nervus ulnaris.
Es ist wichtig, Krepitation oder eine mechanische Bewegungsblockade durch verschobene Frakturfragmente zu erkennen. Dies erfordert häufig die Aspiration einer Hämarthrose und die Instillation eines Lokalanästhetikums zur Schmerzlinderung.
Bei erheblichen Schmerzen im Handgelenk und/oder im zentralen Unterarm kann eine akute longitudinale radioulnare Dissoziation mit einer Zerrüttung des distalen Radioulnargelenks vorliegen.
Nachforschungen
AP- und seitliche Röntgenaufnahmen des Ellenbogens sind in der Regel ausreichend.
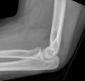
Die Befunde können recht unauffällig sein, und der einzige Anhaltspunkt kann das Fettpolsterzeichen sein (dreieckige, röntgenstrahlendurchlässige Schatten anterior und posterior des distalen Humerus auf dem seitlichen Röntgenbild, die auf eine Hämarthrose und eine Verlagerung des intraartikulären Fettpolsters hinweisen - häufig in Verbindung mit einer intraartikulären Skelettverletzung).
Bild des Ellenbogenfettpolsterzeichens (Hellerhoff (eigenes Werk), via Wikimedia Commons):
Ellenbogen Fettpolster Zeichen

James Heilman, MD, CC BY-SA 4.0, über Wikimedia Commons
Behandlung von Ellenbogenfrakturen
Überweisen Sie den Patienten zur dringenden chirurgischen Behandlung, wenn ein Ellenbogenbruch, eine Verrenkung oder Anzeichen einer Nerven- oder Gefäßbeteiligung vorliegen.
Komplexe Frakturen erfordern eine offene Reposition und interne Fixierung.
Andernfalls ist eine ausreichende Analgesie zu verabreichen und die Aspiration des Gelenks und die Instillation eines Anästhetikums zu erwägen (in der Regel in fachkundigen Händen).
Ruhigstellung des Ellenbogens in einer langarmigen hinteren Schiene bei einer 90°-Stellung des Ellenbogens.
Bei nicht dislozierten Frakturen die hintere Schiene entfernen und durch eine Schlinge ersetzen, die nur dem Komfort dient; auf Verschiebungen achten und mindestens 3-4 Mal täglich aktive Bewegungsübungen, einschließlich Rotation, Flexion und Extension, durchführen.
In einem Cochrane-Review aus dem Jahr 2011 wurde festgestellt, dass es an zuverlässigen Belegen für die Beantwortung der Frage mangelt, ob eine frühzeitige Mobilisierung die Funktion verbessert, ohne dass es zu mehr Komplikationen bei Erwachsenen mit Ellenbogenfrakturen kommt.5
Bei Kindern
Die Diagnose kann schwierig sein, da die Verknöcherung des Radiuskopfes erst im Alter von 4 Jahren auftritt.
Es kann eine begleitende Ulnarschaftfraktur vorliegen (entspricht der Monteggia-Fraktur bei Erwachsenen).
Zur Bestätigung der Diagnose kann eine Ultraschall- oder MRT-Untersuchung erforderlich sein.
Lesen Sie unten weiter
Olekranonfrakturen6
Mechanismus der Verletzung
Dabei handelt es sich um Frakturen mit geringer Energie, die am häufigsten bei älteren Menschen auftreten und durch ein indirektes Trauma verursacht werden, das durch einen plötzlichen Zug der Trizeps- und Brachioradialis-Muskeln entsteht.
Bei jüngeren Patienten sind Olekranonfrakturen jedoch in der Regel die Folge eines direkten Schlags auf die Ellenbogenspitze und werden häufig zertrümmert, und es kann eine begleitende Ulnarschaftfraktur vorliegen.
Klinische Merkmale
Der Patient stellt sich mit einer Schwellung und Empfindlichkeit über dem Olekranon mit Hämarthrose und eingeschränktem Bewegungsumfang vor.
Die Unfähigkeit, den Ellenbogen gegen die Schwerkraft auszustrecken, deutet auf eine Funktionsstörung des Trizepshebels hin.
Es ist notwendig, auf eine Schädigung des Nervus ulnaris zu achten und die distalen Pulse zu untersuchen.
Nachforschungen
Ein echtes seitliches Röntgenbild des Ellenbogens sollte die Fraktur sichtbar machen.
Verwaltung
Ruhigstellung des Ellbogens in einer langarmigen, posterioren Schiene mit 60-90° Beugung des Ellbogens, die posterior gut angeformt ist.
Stützen Sie den Arm mit Kragen und Manschetten oder einer Standardarmschlinge.
Verschobene Frakturen zur Operation überweisen. Bei nicht verschobenen Frakturen 5-7 Tage lang schienen, entfernen und erneut röntgen, um die Nichtverschiebung zu bestätigen.
Wenn sie noch stabil ist, sind leichte Supinations- und Pronationsübungen angebracht, wobei eine Schlinge oder eine abnehmbare hintere Schiene für mehr Komfort sorgen kann.
Beuge- und Streckübungen nach zwei Wochen.
Frakturen des Processus coronoideus7
Mechanismus der Verletzung
Der Verletzungsmechanismus ist derselbe wie bei einer Ellenbogenluxation, und in etwa 40 % der Fälle gehen solche Frakturen mit einer Ellenbogenluxation einher.
Klinische Merkmale
Die Patienten haben Schmerzen in der Fossa antecubitalis und eine Schwellung im Bereich des Ellenbogens.
Prüfen Sie die Stärke des Radialpulses mit dem Ellenbogen bei 90°.
Nachforschungen
Das seitliche Röntgenbild des Ellenbogens sollte eine Koronoidfraktur zeigen.
Verwaltung
Nicht dislozierte Frakturen sollten in einer hinteren Langarmschiene immobilisiert werden, wobei der Ellenbogen in 90° und der Unterarm in voller Supination gehalten wird. Nach drei Wochen sollte mit aktiven Bewegungsübungen begonnen werden, wobei eine Schlinge für Komfort sorgt.
Verschobene Frakturen oder Frakturen, die mehr als 50 % des Knochenfortsatzes betreffen, müssen chirurgisch versorgt werden.
Lesen Sie unten weiter
Frakturen des distalen Oberarmknochens8
Mechanismus der Verletzung
Sie können bei jungen Patienten nach Traumata mit hoher Energie oder bei älteren osteoporotischen Patienten nach Verletzungen mit geringer Energie auftreten.
Suprakondylär/transkondylär - meist handelt es sich um Streckverletzungen durch einen Sturz auf einen ausgestreckten Arm.
Transkondyläre Frakturen treten häufiger bei älteren Menschen auf.
Suprakondyläre Frakturen treten häufiger bei Kindern auf.
Klinische Merkmale
Der Patient stellt sich in der Regel mit einer Schwellung des Ellenbogens und Schmerzen vor.
Führen Sie eine sorgfältige Untersuchung auf neurale oder vaskuläre Beteiligung durch, da die Gefahr einer Schädigung der Arteria brachialis und des Nervs besteht.
Eine deutliche Schwellung des Unterarms oder eine tastbare Verhärtung der Unterarmbeuger mit Schmerzen bei passiver Streckung der Finger deutet auf ein akutes volares Kompartmentsyndrom hin, das eine Notfasziotomie erfordert.
Bis zu 18 % der Humerusschaftfrakturen gehen mit einer Lähmung des Nervus radialis einher.9
Nachforschungen
AP- und seitliche Röntgenaufnahmen des Ellenbogens.
Verwaltung
Alle Frakturen, die nicht oder nur geringfügig verschoben sind und keine Nerven- oder Gefäßbeteiligung aufweisen, sollten zur chirurgischen Versorgung überwiesen werden, auch wenn eine Cochrane-Studie keinen Konsens über die beste chirurgische Behandlung gefunden hat.10
Ruhigstellung des Ellenbogens in einer langarmigen hinteren Schiene, wobei der Ellenbogen in neutraler Rotation 90° zum Unterarm steht.
Prüfen Sie die distalen Pulse nach dem Anlegen der Schiene und strecken Sie den Ellbogen bei fehlenden Pulsen bis zu dem Punkt, an dem die Pulse wiederkehren.
In den ersten 7-10 Tagen ist eine häufige Überprüfung der Nerven- und Gefäßfunktion unerlässlich, und Eis und Hochlagerung sind wichtig, um Schwellungen zu reduzieren.
Innerhalb von 24-48 Stunden erneut untersuchen.
Nach zwei Wochen sollten die Patienten die Schiene abnehmen und sanfte Übungen durchführen. Die Schiene sollte etwa sechs Wochen lang getragen werden, bevor mit kräftigen Übungen begonnen wird.
Interkondyläre Frakturen
Dabei handelt es sich um T- oder Y-förmige Frakturen mit unterschiedlicher Verschiebung zwischen den Kondylen und dem Humerus.
Mechanismus der Verletzung
Häufig verursacht durch einen direkten oder indirekten Schlag auf den Ellenbogen. Das Olekranon wird als Keil zwischen die beiden Kondylen des Oberarmknochens gedrückt.
Klinische Merkmale
Der Patient präsentiert sich in der Regel mit einer ausgeprägten Gewebeschwellung und hält den Unterarm in Pronation.
Der verletzte Unterarm kann verkürzt erscheinen.
Beim Zusammendrücken der Kondylen kann ein Crepitus zu spüren sein.
Nachforschungen
In der AP- und lateralen Ansicht sollte die interkondyläre Fraktur erkennbar sein.
Verwaltung
Die meisten Frakturen müssen operiert werden, weil sie verschoben sind.11
Überweisung zur orthopädischen Begutachtung.
In seltenen Fällen können nicht verschobene Frakturen ähnlich behandelt werden wie nicht verschobene suprakondyläre Frakturen (siehe oben).
Frakturen der Kondylen12
Mechanismus der Verletzung
Laterale Kondylusfrakturen sind häufiger als mediale.
Laterale Frakturen sind in der Regel auf eine plötzliche Varus-Belastung eines gestreckten Ellenbogens zurückzuführen - ein Sturz auf einen gestreckten Ellenbogen.
Mediale Frakturen entstehen entweder durch einen Schlag auf das Olekranon bei gebeugtem Ellenbogen oder durch eine plötzliche Valgusbelastung des gestreckten Ellenbogens.
Klinische Merkmale
Die Patienten zeigen in der Regel eine Schwellung, eine eingeschränkte Beweglichkeit und Schmerzempfindlichkeit über dem verletzten Gelenkkopf.
Häufig ist ein Crepitus bei Bewegung vorhanden.
Nachforschungen
AP- und seitliche Röntgenaufnahmen zeigen einen verbreiterten interkondylären Abstand und möglicherweise verschobene Frakturfragmente.
Verwaltung
Das Absaugen von Gelenkhämarthrosen lindert die Beschwerden.
Verschobene Frakturen müssen chirurgisch korrigiert werden.13
Nicht verschobene Frakturen können mit einer langarmigen hinteren Schiene behandelt werden, wobei der Ellenbogen auf 90° gestellt wird.
Fraktur des Kapitells14
Mechanismus der Verletzung
Diese Frakturen werden in der Regel durch einen Sturz auf die ausgestreckte Hand oder durch ein direktes Trauma verursacht.
Klinische Merkmale
Diese Frakturen betreffen die distale Gelenkfläche des Oberarmknochens.
Schmerzen im vorderen Ellenbogen und Erguss.
Nachforschungen
In der Regel wird die Fraktur durch eine seitliche und AP-Röntgenaufnahme sichtbar.
Verwaltung
Nicht verschobene Frakturen können geschient werden, aber in den meisten Fällen sind sie verschoben und müssen chirurgisch fixiert werden.
Luxation des Ellenbogens
Die Verrenkung des Ellenbogens ist die zweithäufigste große Gelenkverrenkung.9 Die "schreckliche Triade des Ellenbogens" bezieht sich auf eine Kombination aus Ellenbogenluxation und Fraktur des Radiusköpfchens und des Processus coronoideus - sie ist bekanntermaßen schwierig zu behandeln, obwohl eine systematische Überprüfung ergab, dass es zwar häufig zu Komplikationen kommt, die funktionellen Ergebnisse aber im Allgemeinen zufriedenstellend sind.15
Mechanismus der Verletzung
Häufig durch einen Sturz auf einen ausgestreckten Ellenbogen.
Verrenkungen ohne Fraktur werden als einfach bezeichnet, während Verrenkungen mit Fraktur als komplex bezeichnet werden.
Sie werden nach der Stellung der Elle im Verhältnis zum Oberarmknochen nach der Verletzung eingeteilt.
Klinische Merkmale
Häufig in Verbindung mit einer Verletzung der Arteria brachialis und des Nervs, daher umfassende Untersuchung der distalen Pulse sowie der Funktion des Nervus medianus und des Nervus ulnaris.16
Der Patient stellt sich in der Regel mit starken Schmerzen vor, wobei der Ellenbogen gebeugt ist und eine Schwellung und Deformierung zu erkennen ist.
Nachforschungen
AP- und seitliche Röntgenaufnahmen des Ellenbogens zur Bestätigung der Luxation und zum Ausschluss von Frakturen.
Behandlung von Ellenbogenluxationen
Eine rasche Reposition ist unerlässlich. Dies wird in der Regel unter IV-Sedierung und mit angemessener Analgesie durchgeführt.
Posteriore Dislokation:17
Versuchen Sie zunächst einen Gegenzug am Oberarm, während Sie einen Längszug am Handgelenk und am Unterarm anwenden.
Setzen Sie den distalen Zug fort, während der Ellenbogen gebeugt wird.
Möglicherweise muss der proximale Unterarm nach unten gedrückt werden.
Gelingt dies nicht, legen Sie den Patienten mit dem Gesicht nach unten, wobei der Ellenbogen seitlich vom Tisch herabhängt, und legen Sie ein kleines Kissen unter den Humerus unmittelbar proximal des Ellenbogengelenks; hängen Sie ein 2,5-10 kg schweres Gewicht an das Handgelenk oder üben Sie einen leichten Längszug aus.
Geht in der Regel innerhalb weniger Minuten zurück, kann aber einen Druck nach vorne auf das Olekranon erfordern.
Anteriore Dislokation:18
Im Grunde die umgekehrte Vorgehensweise, wobei von hinten Druck auf den Unterarm ausgeübt wird, während von hinten Druck auf den distalen Oberarmknochen ausgeübt wird.
Nach der Reposition die Beweglichkeit und Stabilität des Gelenks testen und die Nerven- und Gefäßfunktion überprüfen. Röntgenaufnahme wiederholen und den Ellenbogen in einer posterioren Schiene bei 90° immobilisieren.
Weiterführende Literatur und Referenzen
- Shearman C und El-Khoury GPitfalls in the Radiologic Evaluation of Extremity Trauma: Part I. The Upper Extremity, Am Fam Phys 1998 March 1;57(5):995-1006.
- Galbiatti JA, Cardoso FL, Ferro JAS, et alSchreckliche Triade des Ellenbogens: Bewertung der chirurgischen Behandlung. Rev Bras Ortop. 2018 Jun 11;53(4):460-466. doi: 10.1016/j.rboe.2018.05.012. eCollection 2018 Jul-Aug.
- Lu X, Yan G, Lu M, et al.Epidemiologische Merkmale und Behandlung von Ellenbogenluxationen mit begleitenden Frakturen in der pädiatrischen Bevölkerung. Medicine (Baltimore). 2017 Dec;96(48):e8595. doi: 10.1097/MD.0000000000008595.
- Sonin AFrakturen des Ellenbogens und des Unterarms. Semin Musculoskelet Radiol. 2000;4(2):171-91.
- Appelboam A, Reuben AD, Benger JR, et alEllenbogen-Extensionstest zum Ausschluss einer Ellenbogenfraktur: multizentrische, prospektive Validierungs- und Beobachtungsstudie zur diagnostischen Genauigkeit bei Erwachsenen und Kindern. BMJ. 2008 Dec 9;337:a2428. doi: 10.1136/bmj.a2428.
- Jie KE, van Dam LF, Verhagen TF, et alDer Extensionstest und die Empfindlichkeit des Ossalpunkts können bei einem akuten Ellbogentrauma eine signifikante Verletzung nicht genau ausschließen. Ann Emerg Med. 2014 Jul;64(1):74-8. doi: 10.1016/j.annemergmed.2014.01.022. Epub 2014 Feb 13.
- Saeed W, Waseem MEllenbogenfrakturen - Überblick.
- Harding P, Rasekaba T, Smirneos L, Holland AE. Frühmobilisierung bei Ellenbogenfrakturen bei ErwachsenenCochrane Database of Systematic Reviews 2011, Ausgabe 6. Art. Nr.: CD008130. DOI: 10.1002/14651858.CD008130.pub2.
- Sullivan CW, Herron T, Hayat ZOlekranonfraktur.
- Lowery M, Massey PKoronoidfrakturen.
- Saracco M, Smimmo A, De Marco D, et alChirurgischer Zugang bei Frakturen des distalen Humerus: Posterior vs. lateral. Orthop Rev (Pavia). 2020 Jun 25;12(Suppl 1):8664. doi: 10.4081/or.2020.8664. eCollection 2020 Jun 29.
- Menü EllbogengelenkWheeless' Lehrbuch der Orthopädie
- Wang Y, Zhuo Q, Tang P, et alChirurgische Eingriffe zur Behandlung distaler Humerusfrakturen bei Erwachsenen. Cochrane Database Syst Rev. 2013 Jan 31;1:CD009890. doi: 10.1002/14651858.CD009890.pub2.
- Tomori Y, Sudo Y, Iizawa N, et alInterkondyläre Fraktur des distalen Humerus bei einem 7-jährigen Kind: Ein Fallbericht und ein Überblick über die Literatur. Medicine (Baltimore). 2017 Feb;96(6):e6085. doi: 10.1097/MD.0000000000006085.
- Martins T, Tiwari V, Marappa-Ganeshan RPädiatrische laterale Humeruskondylenfrakturen.
- Tomori Y, Nanno M, Takai SPosteromediale Ellenbogenluxation mit lateraler Humeruskondylusfraktur bei Kindern: Drei Fallberichte und eine Literaturübersicht. Medicine (Baltimore). 2018 Sep;97(36):e12182. doi: 10.1097/MD.0000000000012182.
- Majeed M, Thahir A, Krkovic MDie operative Behandlung von Frakturen des Kapitells. Cureus. 2024 Apr 29;16(4):e59326. doi: 10.7759/cureus.59326. eCollection 2024 Apr.
- Laumonerie P, Mansat PSchreckliche Dreifachverletzung des Ellenbogens: ein Spektrum von Theorien. JSES Int. 2023 Apr 15;7(6):2565-2568. doi: 10.1016/j.jseint.2023.03.018. eCollection 2023 Nov.
- Sheps DM, Hildebrand KA, Boorman RSEinfache Verrenkungen des Ellenbogens: Bewertung und Behandlung. Hand Clin. 2004 Nov;20(4):389-404.
- Waymack JR, An JLuxation des hinteren Ellenbogens.
- Decker N, Norse AAnteriore Ellenbogenluxation.
Lesen Sie unten weiter
Artikel Geschichte
Die Informationen auf dieser Seite wurden von qualifizierten Klinikern verfasst und von Fachleuten geprüft.
Nächste Überprüfung fällig: 26. Juni 2027
27 Jun 2024 | Neueste Version

Fragen, teilen, verbinden.
Stöbern Sie in Diskussionen, stellen Sie Fragen, und tauschen Sie Erfahrungen zu Hunderten von Gesundheitsthemen aus.

Fühlen Sie sich unwohl?
Beurteilen Sie Ihre Symptome online und kostenlos