Unterarmverletzungen und -frakturen
Begutachtet von Dr. Colin Tidy, MRCGPZuletzt aktualisiert von Dr. Hayley Willacy, FRCGP Zuletzt aktualisiert 15 Jan 2025
Erfüllt die Anforderungen des Patienten redaktionelle Richtlinien
- HerunterladenHerunterladen
- Teilen Sie
- Sprache
- Diskussion
Der Unterarm ist der Teil des Arms, der sich zwischen dem Ellenbogen und dem Handgelenk befindet. Er hat zwei Knochen: die Speiche und die Elle. Außerdem hat er viele Sehnen, die den Arm und das Handgelenk beweglich machen. Die Knochen können auf verschiedene Weise gebrochen werden, und die Sehnen können bei bestimmten Tätigkeiten wund werden. In dieser Broschüre erfahren Sie, was passiert, wenn Sie sich einen Knochen im Unterarm brechen oder eine Verstauchung der Weichteile im Unterarm haben.
In diesem Artikel:
Lesen Sie unten weiter
Was ist ein Unterarmbruch?
Ein Unterarmbruch ist ein Bruch eines oder mehrerer Unterarmknochen.
Welche Knochen gibt es im Unterarm?
Der Unterarm ist ziemlich einfach, da er nur zwei Knochen hat: die Speiche und die Elle.
Die Speiche befindet sich auf derselben Seite wie der Daumen, die Elle auf der Seite des kleinen Fingers. Die Knochen berühren sich unten in der Nähe des Handgelenks und auch in der Nähe des Ellbogens. Sie können übereinander gleiten, so dass sich das Handgelenk von oben nach unten drehen kann (wie beim Öffnen eines Türgriffs).
Je nachdem, wie Sie sich den Unterarm verletzen, können Sie sich entweder die Elle (eher ungewöhnlich), beide Knochen (wahrscheinlicher) oder nur die Speiche (die wahrscheinlichste Art, sich einen Knochen im Unterarm zu brechen) brechen.
Welche Weichteile gibt es im Unterarm?
Unter Weichteilgewebe versteht man im Allgemeinen Sehnen und Bänder, obwohl es recht ungewöhnlich ist, ein Band im Unterarm zu beschädigen. Aber Probleme mit den Sehnen sind recht häufig. Sehnen sind ein bisschen wie weiße Gummibänder. Im Unterarm sorgen sie dafür, dass sich das Handgelenk nach oben oder unten bewegt (so wie beim Aufprall eines Balls auf den Boden). Sie sorgen auch dafür, dass sich die Finger bewegen.
Wie werden Unterarmknochen gebrochen?
In der Regel wird die Speiche oder Elle gebrochen, wenn man stürzt und versucht, den Sturz mit der Hand abzufangen.
Wenn Ihre Handfläche nach unten zeigt, bricht in der Regel der Radiusknochen und der Teil, der dem Handgelenk am nächsten liegt, wird nach oben gedrückt. Dies wird als "Colles-Fraktur" bezeichnet, benannt nach Dr. Colles, der sie 1814 erstmals beschrieb. Dieses Bild zeigt, wie eine Colles-Fraktur von außen aussieht:
Kolles-Fraktur

Von Dsprenkels, CC BY-SA 4.0über Wikimedia Commons
Eine Colles-Fraktur muss nicht unbedingt operiert werden. Er kann unter örtlicher Betäubung wieder in die richtige Position gebracht werden (ein Arzt kann Ihnen ein Betäubungsmittel in den Arm spritzen, damit es nicht weh tut, und dann die Knochen wieder in die richtige Position bringen) und dann für etwa sechs Wochen in einen Gipsverband gelegt werden.
Das Gegenteil ist der Fall, wenn Sie stürzen, aber Ihr Handgelenk abgewinkelt (oder "gebeugt") ist und Sie auf dem Handrücken landen. Dies wird als Smith-Fraktur bezeichnet (benannt nach einem Dr. Smith, ebenfalls aus den 1800er Jahren). Diese Fraktur ist in der Regel schwerwiegender als die Colles-Fraktur und erfordert oft eine Operation, um sie mit Metall zu fixieren. Sie ist nicht so häufig wie die Colles-Fraktur.
Der kleinere Knochen im Unterarm, die Elle, kann ebenfalls gebrochen werden. Wenn sie bricht, geschieht das meist bei einem Sturz, bei dem auch die Speiche gebrochen wird. Es ist ungewöhnlich, sich die Elle selbst zu brechen - etwa wenn man den Arm zur Verteidigung hochhebt, wenn man von jemandem mit etwas geschlagen wird.
Wenn Sie im späten mittleren Alter oder älter sind und einen dieser Knochenbrüche erleiden, lohnt es sich manchmal, zu prüfen, ob Sie an einer "Knochenverdünnung"(Osteoporose) leiden.
Lesen Sie unten weiter
Unterarmfrakturen bei Kindern
Kinder brechen sich in der Regel einen Knochen im Unterarm, wenn sie stürzen und die Hand ausstrecken, um sich zu schützen. Daher haben Kinder in der Regel eine Colles'sche Fraktur. Glücklicherweise heilen die Unterarmknochen von Kindern viel besser als die Knochen von Erwachsenen, so dass nur selten eine Operation erforderlich ist. Vielmehr können die Knochen in Narkose wieder an ihren Platz gezogen werden (dies wird als Manipulation unter Narkose (MUA) bezeichnet).
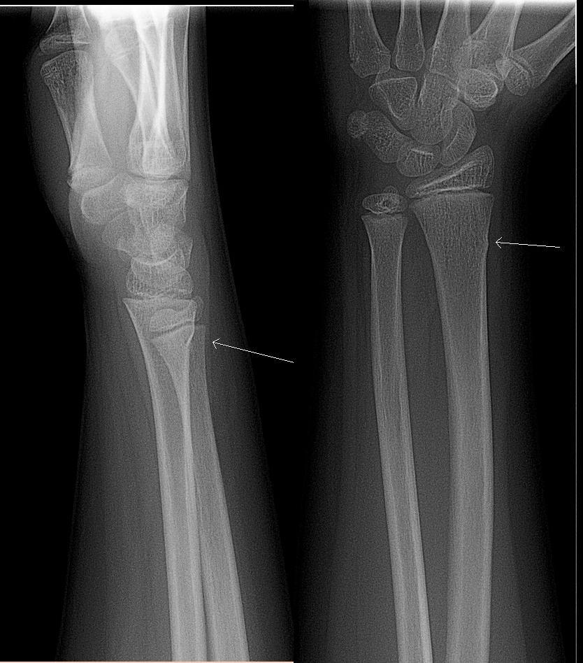
Oft bricht der Unterarmknochen eines Kindes nicht vollständig, sondern wird nur an der Oberfläche verformt. Dies nennt man eine "Greenstick"-Fraktur, die nicht operiert werden muss: Sie heilt mit einem Gipsverband. Diese Röntgenaufnahme zeigt eine Greenstick-Fraktur bei dem weißen Pfeil: nur eine kleine Ausbuchtung am Rand des Knochens und kein Bruch über die gesamte Länge:
Grünholzfraktur

Von Lucien Monfils (Eigenes Werk), CC BY-SA 3.0über Wikimedia Commons
Wie lange dauert es, bis ein Unterarmbruch verheilt ist?
Im Allgemeinen brauchen Knochen drei Monate, um zu heilen, aber 90 % dieser Heilung findet in den ersten sechs Wochen statt. Deshalb muss man bei einem Unterarmbruch in der Regel sechs Wochen lang einen Gipsverband tragen. Bei Kindern heilen die Knochen sogar noch schneller.
Lesen Sie unten weiter
Kann ich etwas tun, damit mein Unterarmbruch schneller heilt?
Rauchen Sie nicht! Oder wenn Sie rauchen, versuchen Sie, damit aufzuhören, auch wenn es nur vorübergehend ist. Rauchen hemmt die Heilung der Knochen.
Ernähren Sie sich gesund: Ihre Knochen brauchen Nährstoffe, um zu heilen.
Versuchen Sie, nicht zu viel Ibuprofen oder andere nichtsteroidale Entzündungshemmer einzunehmen: Sie können den Heilungsprozess der Knochen verlangsamen.
Welche Weichteilverletzungen können im Unterarm auftreten?
In der Regel handelt es sich bei Problemen mit den Weichteilen (die keine Knochen sind) um die Sehnen im Unterarm. Sie sind in der Regel die Folge einer Überbeanspruchung des Handgelenks oder des Ellenbogens. Arten von Weichteilverletzungen sind:
Tennisarm
Der Tennisarm(medizinischer Fachbegriff: laterale Epicondylitis) entsteht, wenn sich die Sehnen an der Außenseite des Ellenbogens entzünden und wund werden.
Golfer-Ellenbogen
Auch die Sehnen an der Innenseite des Ellenbogens können schmerzen: Dies wird als Golfer-Ellenbogen" bezeichnet (medizinisch: mediale Epicondylitis).
Behandlung von Unterarmverletzungen
Im Allgemeinen besteht die Behandlung von Sehnenproblemen darin, Handgelenk und Unterarm zu schonen und zu versuchen, die Bewegung, die das Problem verursacht, zu unterlassen. Physiotherapie oder das Tragen von Handgelenk- oder Ellbogenstützen können helfen.
Dieses Bild zeigt, wo der Schmerz beim Tennisarm auf der Außenseite des Ellbogens auftritt:
Tennisarm

Von BruceBlaus, CC BY-SA 4.0über Wikimedia Commons
Die folgende Abbildung zeigt, wo der Schmerz beim Golferellenbogen auf der Innenseite des Ellbogens auftritt:
Bild des Golfer-Ellbogens

Von www.scientificanimations.com, CC BY-SA 4.0über Wikimedia Commons
Da die Sehnen im Unterarm auch Ihre Finger bewegen, können Sie eine Tendinopathie im Unterarm bekommen, wenn Sie Ihre Finger überbeanspruchen. Wenn Sie zum Beispiel viel tippen, aber Ihre Hände nicht in der richtigen Position halten, können Sie Schmerzen in den Unterarmen (nicht in den Fingern) spüren.
Patientenauswahl für Frakturen

Knochen, Gelenke und Muskeln
Hüftfraktur
Eine Hüftfraktur ist ein anderer Begriff für einen Hüftbruch. Ärzte bezeichnen eine Hüftfraktur manchmal auch als Schenkelhalsfraktur oder Fraktur des Oberschenkelhalses. Es handelt sich um eine häufige Verletzung bei älteren Menschen, insbesondere bei Frauen, die an einer „Ausdünnung” der Knochen (Osteoporose) leiden. Es ist die häufigste schwere Verletzung bei älteren Menschen, die eine Notoperation erforderlich macht.
von Dr. Rosalyn Adleman, MRCGP

Knochen, Gelenke und Muskeln
Genesung nach einem Beckenfrakturen
Ein schwerer Beckenbruch erfordert wahrscheinlich eine langwierige Physiotherapie und Rehabilitation. Die Genesungszeit hängt auch davon ab, welche anderen Schäden Sie erlitten haben, insbesondere an den Nerven, die zu Ihren Beinen führen.
von Dr. Colin Tidy, MRCGP
Weiterführende Literatur und Referenzen
- Rafi BM, Tiwari VUnterarmfrakturen.
- Buchanan BK, Varacallo MTennisarm
- Kiel J, Kaiser KGolfers Elbow.
- Wheeless' Lehrbuch der OrthopädiePädiatrische Unterarmbrüche mit beiden Knochen. Duke Orthopaedics. Zitiert aus Lehrbuch online Oktober 2024
Lesen Sie unten weiter
Artikel Geschichte
Die Informationen auf dieser Seite wurden von qualifizierten Klinikern verfasst und von Fachleuten geprüft.
Nächste Überprüfung fällig: 14 Jan 2028
15 Jan 2025 | Neueste Version

Fragen, teilen, verbinden.
Stöbern Sie in Diskussionen, stellen Sie Fragen, und tauschen Sie Erfahrungen zu Hunderten von Gesundheitsthemen aus.

Fühlen Sie sich unwohl?
Beurteilen Sie Ihre Symptome online und kostenlos
Melden Sie sich für den Patienten-Newsletter an
Ihre wöchentliche Dosis klarer, vertrauenswürdiger Gesundheitsratschläge – geschrieben, damit Sie sich informiert, sicher und unter Kontrolle fühlen.
Mit Ihrer Anmeldung akzeptieren Sie unsere Datenschutzerklärung. Sie können sich jederzeit abmelden. Wir verkaufen Ihre Daten niemals weiter.