Lungenentzündung
Begutachtet von Dr. Toni Hazell, MRCGPZuletzt aktualisiert von Dr. Mohammad Sharif Razai, MRCGPZuletzt aktualisiert am 24. Juni 2024
Erfüllt die Anforderungen des Patienten redaktionelle Richtlinien
- HerunterladenHerunterladen
- Teilen Sie
- Sprache
- Diskussion
Medizinisches Fachpersonal
Professionelle Referenzartikel sind für Angehörige der Gesundheitsberufe bestimmt. Sie wurden von britischen Ärzten verfasst und basieren auf Forschungsergebnissen, britischen und europäischen Leitlinien. Vielleicht finden Sie den Artikel Lungenentzündung nützlicher oder einen unserer anderen Gesundheitsartikel.
In diesem Artikel:
Es gibt separate Artikel über Aspirationspneumonie, Pneumocystis jirovecii-Pneumonie und Infektionen der unteren Atemwege bei Kindern.
Lesen Sie unten weiter
Was ist eine Lungenentzündung?
Die Lungenentzündung ist durch eine akute Entzündung mit einer starken Infiltration von Neutrophilen in und um die Alveolen und terminalen Bronchiolen gekennzeichnet. Aufgrund der daraus resultierenden Entzündung und des Ödems kann sich das betroffene Bronchopulmonalsegment oder der gesamte Lappen verfestigen.
Eine Lungenentzündung wird in der Regel nach dem verursachenden Organismus eingeteilt. Zu den Symptomen einer Lungenentzündung gehören Husten, Fieber, Dyspnoe, Brustschmerzen und Müdigkeit. Die Risikofaktoren, Anzeichen und Symptome der einzelnen Arten von Lungenentzündungen können je nach Ätiologie und Pathogenitätsmechanismus variieren.
Risikofaktoren1
- Alter: insbesondere Säuglinge, Kleinkinder und ältere Menschen. 
- Lebensstil: Rauchen und Alkohol. 
- Vorangegangene Virusinfektionen: So kann beispielsweise eine Grippe eine Prädisposition für eine Infektion mit Streptococcus pneumoniae darstellen. 
- Atemwege: Asthma, chronisch obstruktive Lungenerkrankung (COPD), bösartige Erkrankungen, Bronchiektasen und Mukoviszidose. 
- Immunsuppression: AIDS und zytotoxische Therapien erhöhen das Risiko einer Infektion mit Staphylokokkenarten, Tuberkulose, gramnegativen Bazillen und Pneumocystis jirovecii. 
- Intravenöser Drogenmissbrauch: häufig in Verbindung mit einer Staphylococcus aureus-Infektion. 
- Krankenhausaufenthalt: Häufig handelt es sich um gramnegative Organismen. 
- Aspirationspneumonie: Patienten mit Bewusstseinsstörungen, neurologischen Erkrankungen wie der zerebrovaskulären oder der Parkinson-Krankheit oder einer Ösophagusobstruktion sind gefährdet. Aspirationspneumonie betrifft in der Regel die rechte Lunge und wird durch Anaerobier aus dem Oropharynx verursacht. 
- Grundlegende prädisponierende Krankheiten wie Diabetes mellitus und Herz-Kreislauf-Erkrankungen. 
- Protonenpumpeninhibitoren werden mit einem 1,5-fach erhöhten Risiko für eine ambulant erworbene Lungenentzündung in Verbindung gebracht, was auf eine verringerte Magensäuresekretion zurückzuführen ist, die eine Besiedlung der oberen Atemwege mit Krankheitserregern erleichtert.23 
Lesen Sie unten weiter
In der Gemeinschaft erworbene Lungenentzündung
Dies ist eine Lungenentzündung, die außerhalb von Krankenhäusern oder Gesundheitseinrichtungen erworben wurde. Es handelt sich um das Vorhandensein von Symptomen und Anzeichen, die mit einer akuten Infektion der unteren Atemwege übereinstimmen, begleitet von neuen Röntgenschattierungen, für die es keine andere Erklärung gibt.
Pathogenese
Die wahrscheinlichsten Erreger sind: S. pneumoniae, S. aureus, Mycoplasma pneumoniae, Haemophilus influenzae, Chlamydophila pneumoniae und Viren der Atemwege.5 In bis zu 25 % der Fälle treten gemischte Erreger auf.
Wie häufig ist Lungenentzündung? (Epidemiologie) 6
- 0,5-1 % der Menschen im Vereinigten Königreich erkranken jedes Jahr an einer ambulant erworbenen Lungenentzündung (CAP). 
- Von den Erwachsenen, die sich mit Symptomen einer Infektion der unteren Atemwege beim Hausarzt vorstellen, wird bei 5-10 % eine CAP diagnostiziert, und 22-42 % dieser Fälle werden ins Krankenhaus eingewiesen. 
- Die Sterblichkeitsrate bei CAP liegt zwischen 5 % und 14 %, und mehr als 50 % der pneumoniebedingten Todesfälle treten bei Menschen über 84 Jahren auf. 
- 1,2-10 % der Erwachsenen, die mit CAP ins Krankenhaus eingeliefert werden, müssen auf die Intensivstation, und bei diesen Patienten liegt das Sterberisiko bei über 30 %. 
- Die CAP führt in England jedes Jahr zu etwa 100.000 Krankenhauseinweisungen. 
- Die meisten Episoden von CAP treten im Herbst oder Winter auf.7 
Symptome und Anzeichen einer Lungenentzündung (Darstellung)
- Symptome: Husten, eitriger Auswurf (kann blutig oder rostfarben sein), Dyspnoe, Fieber, pleuritische Brustschmerzen, Rigor und Nachtschweiß. - Ältere Menschen können vor allem systemische Symptome wie Verwirrung, Unwohlsein, Müdigkeit, Anorexie, Myalgie und eine Verschlechterung bereits bestehender Gesundheitszustände aufweisen. 
- Kinder und junge Erwachsene können sich mit Übelkeit, Bauchschmerzen, Durchfall, Halsschmerzen und Kopfschmerzen vorstellen. 
 
- Anzeichen: Tachypnoe, Bronchialatmung, Krepitationen, Pleurareiben, Dumpfheit bei Perkussion. - Die Diagnose ist unwahrscheinlich, wenn keine fokalen Brustkorbzeichen vorliegen und Herzfrequenz, Atemfrequenz und Temperatur normal sind. 
 
Beurteilung, ob Patienten mit CAP ins Krankenhaus eingewiesen werden müssen6
Die Entscheidung über die Aufnahme basiert auf einer Vielzahl von Faktoren, darunter die Schwere der Krankheit, das Alter, die zugrunde liegenden gesundheitlichen Probleme und die sozialen Umstände.
- Das National Institute for Health and Care Excellence (NICE) empfiehlt die Verwendung des CRB-65-Scores in Verbindung mit der klinischen Beurteilung. 
- Es wird ein 4-Punkte-System verwendet, wobei jeweils ein Punkt für die folgenden Punkte vergeben wird: - Verwirrtheit: abgekürzter Intelligenztest mit einem Ergebnis von 8 oder weniger oder neue Desorientierung in Bezug auf Person, Ort oder Zeit. 
- Atmungsfrequenz: 30 Atemzüge/Minute oder mehr. 
- Blutdruck: systolischer Blutdruck unter 90 mm Hg oder diastolischer Blutdruck unter 60 mm Hg. 
- Alter: 65 Jahre oder älter. 
 
Patienten mit einem CRB-65-Score von 0 haben ein geringes Sterberisiko und sollten für die häusliche Pflege in Betracht gezogen werden. Bei allen anderen Patienten, insbesondere bei Patienten mit einem CRB-65-Score von 2 oder höher, sollte eine Krankenhauseinweisung erwogen werden. Bei Patienten mit einem Wert von 3 oder mehr (hoher Schweregrad) ist eine sofortige Krankenhauseinweisung erforderlich.
Behandlung von in der Gemeinschaft erworbener Lungenentzündung
Bei der Behandlung von Lungenentzündungen sollten Sie einen systematischen Ansatz zur Beurteilung und Behandlung der Patienten verfolgen.
- Sauerstoff: Bei Hypoxie Sauerstoff verabreichen und bei schwerer Hypoxie eine Beatmung erwägen. 
- Flüssigkeiten: intravenöse Flüssigkeitszufuhr bei Patienten mit Volumenmangel. 
- Analgetika: Nichtsteroidale Antirheumatika (NSAIDs) und Paracetamol bei leichten Pleuraschmerzen. Bei stärkeren Schmerzen kann eine Analgesie mit Opiaten erforderlich sein, wobei jedoch Vorsicht geboten ist, um eine Verschlimmerung der CO2-Retention zu vermeiden. 
- Vernebelte Kochsalzlösung kann das Abhusten erleichtern. 
- Der Nutzen der Physiotherapie bei Lungenentzündung ist zweifelhaft. Die Physiotherapie könnte eher dazu beitragen, den Patienten zu mobilisieren, aber eine Cochrane-Überprüfung ergab keine Auswirkungen auf die Verringerung der Sterblichkeit.9 
Raten Sie Patienten mit CAP, nicht zu rauchen, sich auszuruhen und viel zu trinken.
Ratschläge für Sicherheitsnetze
Denjenigen, bei denen nach 72 Stunden Behandlung keine Besserung eintritt, sollte geraten werden, weiteren ärztlichen Rat einzuholen. In allen besorgniserregenden Fällen sollte eine Krankenhauseinweisung in Betracht gezogen werden. Patienten aus der Gemeinschaft sollten darauf hingewiesen werden, dass sie wiederkommen sollten, wenn ihre Symptome nach drei Wochen nicht verschwunden sind.
Bei Verdacht auf eine Lungenentzündung wird empfohlen, so schnell wie möglich mit Antibiotika zu beginnen.
Die antimikrobielle Therapie sollte sich an den Merkmalen des Patienten, der Umgebung, dem Schweregrad der Lungenentzündung und den verfügbaren Informationen über lokale Erreger und Resistenzmuster orientieren.
- GAP mit geringem Schweregrad: - Bieten Sie eine fünftägige Behandlung mit Amoxicillin an und behalten Sie Clarithromycin, Erythromycin (in der Schwangerschaft) oder Doxycyclin für Patienten vor, die allergisch auf Penicillin reagieren oder bei denen ein atypischer Erreger vermutet wird. 
- Antibiotika nach fünf Tagen absetzen, es sei denn, die mikrobiologischen Ergebnisse legen eine längere Behandlung nahe oder der Patient ist klinisch nicht stabil. 
 
- Mäßige bis schwere CAP: - Patienten mit mittelschwerer bis schwerer CAP werden normalerweise im Krankenhaus behandelt. Es kann jedoch vorkommen (z. B. wenn ein Patient die Aufnahme verweigert), dass der Hausarzt für die Behandlung zuständig ist. 
- Bei einer mittelschweren CAP sollte die Behandlung wie bei einer niedrigschweren CAP erfolgen, bis die mikrobiologischen Ergebnisse vorliegen. 
- Bei hochgradiger CAP sollte eine fünftägige Behandlung mit Coamoxiclav und Clarithromycin oder Erythromycin (in der Schwangerschaft) angeboten werden. Es kann oral oder intravenös verabreicht werden, wobei sich letzteres in der Gemeinde als schwierig erweisen kann. 
- Levofloxacin, oral oder intravenös verabreicht, ist eine Option für Patienten, die allergisch auf Penicillin reagieren. 
 
Lungenentzündung durch atypische Krankheitserreger1011
Pathogenese
Die häufigsten Organismen sind:
- Mycoplasma pneumoniae. 
- Chlamydophila pneumoniae. 
- Legionella pneumophila. 
Zu den anderen Mikroorganismen, die ähnliche Präsentationsmuster bei Lungeninfektionen verursachen, gehören:
- Chlamydophila psittaci: Die Exposition gegenüber Vögeln, insbesondere kranken Vögeln, ist ein nützlicher Anhaltspunkt in der Vorgeschichte. 
- Coxiella burnetii: tritt als Q-Fieber auf. 
- Virale Pneumonien: einschließlich Influenza A, schweres akutes respiratorisches Syndrom (SARS), Respiratorisches Synzytialvirus (RSV), Adenoviridae und Pneumonitis durch Varizellen (Windpockenpneumonitis). 
Epidemiologie
Atypische Organismen könnten weltweit in etwa 22 % der Fälle von CAP eine Rolle spielen. 1213
Risikofaktoren
- Mykoplasmen und Chlamydophila verbreiten sich durch Kontakt von Mensch zu Mensch, wobei die Übertragung am häufigsten in geschlossenen Räumen wie Schulen und Büros stattfindet. 
- Legionellen finden sich typischerweise in verseuchtem Wasser und in künstlichen Wassersystemen. 
- Coxiella burnetii wird durch Einatmen oder Verschlucken von kontaminierten tierischen Erzeugnissen übertragen. 
Symptome einer atypischen Lungenentzündung
- M. pneumoniae:14 - Vage und langsam einsetzende Anamnese über einige Tage oder Wochen mit konstitutioneller Störung, Fieber, Kopfschmerzen, trockenem Husten mit tracheitischen ± pleuritischen Schmerzen, Myalgie, Unwohlsein und Halsschmerzen. 
- Es handelt sich um eine ähnliche Krankheit wie viele der üblichen Viruserkrankungen, aber die Hartnäckigkeit und das Fortschreiten der Symptome sind das, was sie auszeichnet. 
- Bei ansonsten gesunden Personen verschwindet sie in der Regel spontan innerhalb weniger Wochen. 
- Der hackende, trockene Husten kann sehr hartnäckig sein. 
- Zu den extra-respiratorischen Merkmalen gehören Hautausschläge wie Erythema multiforme, Erythema nodosum und Urtikaria; neurologische Komplikationen wie Guillain-Barré-Syndrom, transversale Myelitis, zerebelläre Ataxie und aseptische Meningitis; hämatologische Komplikationen wie Kälteagglutinin-Krankheit und hämolytische Anämie; Gelenksymptome wie Arthralgie und Arthritis; kardiale Komplikationen wie Perikarditis und Myokarditis; in seltenen Fällen kann eine Pankreatitis auftreten. 
 
- C. pneumoniae:15 - Allmählicher Beginn, der sich zunächst bessern kann, bevor er sich wieder verschlimmert; die Inkubationszeit beträgt 3-4 Wochen. 
- Anfänglich unspezifische Symptome einer Infektion der oberen Atemwege führen zu bronchitischen oder pneumonischen Symptomen. 
- Die meisten der Infizierten sind gesund oder zeigen keine Symptome. 
- Husten mit spärlichem Auswurf ist ein auffälliges Merkmal. 
- Heiserkeit ist ein häufiges Merkmal. 
- Die Mehrzahl der symptomatischen Patienten leidet unter Kopfschmerzen. 
- Fieber ist relativ ungewöhnlich. 
- Die Symptome können sich über Wochen oder Monate hinziehen, auch wenn geeignete Antibiotika eingenommen werden. 
- Wenn sie erhebliche Probleme verursacht, kann dies auf eine Sekundärinfektion oder eine gleichzeitig bestehende Krankheit, wie z. B. Diabetes, zurückzuführen sein. 
 
- L. pneumophila:16 - Dies ist in der Regel die schwerste der durch atypische Erreger verursachten Lungenentzündungen. Siehe den separaten Artikel über die Legionärskrankheit. 
- Die Ausbrüche konzentrierten sich auf schlecht gewartete Klimaanlagen oder Befeuchtungssysteme, die oft erst im Nachhinein von Ärzten des öffentlichen Gesundheitswesens festgestellt wurden. 
- Die Inkubationszeit beträgt 2-10 Tage. 
- Anfänglich leichte Kopfschmerzen und Myalgien, die sich zu hohem Fieber, Schüttelfrost und wiederholter Starre entwickeln; zu Beginn überwiegen oft Symptome, die nicht die Brust betreffen. 
- Husten ist fast immer vorhanden, zunächst unproduktiv, kann aber später zu Auswurf führen. 
- Dyspnoe, pleuritische Schmerzen und Hämoptysen sind keine Seltenheit. 
- Es kann zu Magen-Darm-Beschwerden wie Durchfall, Übelkeit und Erbrechen oder Appetitlosigkeit/Anorexie kommen. 
- Es kann zu neurologischen Komplikationen wie Verwirrung, Desorientierung und fokalen neurologischen Defiziten kommen. 
- Häufig wird über Arthralgie und Myalgie berichtet. 
- Zu den schwerwiegenden Komplikationen gehören Pankreatitis, Peritonitis, Perikarditis, Myokarditis, Endokarditis und Glomerulonephritis. 
 
Anzeichen einer atypischen Lungenentzündung
- Achten Sie bei Verdacht auf einen atypischen Erreger auf Anzeichen einer extrathorakalen Beteiligung und überprüfen Sie die Vitalzeichen. 
- Thoraxbefunde sind im Allgemeinen nicht hilfreich. Die Diskordanz zwischen den Brustkorbzeichen und der Erkrankung des Patienten oder die Blüte des anfänglichen CXR-Erscheinungsbildes weckt häufig den Verdacht auf einen atypischen Erreger. 
- Es können unspezifische Anzeichen im Brustkorb und Anzeichen einer Konsolidierung gefunden werden, doch ist dies viel seltener als bei den "Standard"-Pneumonien. 
- Aufgrund von Komplikationen der Infektion kann es zu Anzeichen in anderen Systemen kommen. 
Behandlung der atypischen Lungenentzündung
Lungenentzündungen, die auf atypische Erreger zurückzuführen sind, werden in der Regel wie andere CAP behandelt, zumindest anfänglich. Serologische Tests sind bei den meisten Patienten mit CAP von geringem Wert.11
- Doxycyclin, Clarithromycin und Erythromycin (die bevorzugte Option in der Schwangerschaft) haben sich bei der Behandlung der drei häufigsten Infektionserreger als wirksam erwiesen. Sie sollten in allen Fällen von Lungenentzündung (einschließlich der in der Gemeinschaft erworbenen) in Betracht gezogen werden, wenn atypische Erreger vermutet werden.10 
- Die Resistenz gegen Makrolide gibt zunehmend Anlass zur Sorge.17 
- Schwere Legionelleninfektionen können sowohl Rifampicin als auch ein Makrolid erfordern.16 . 
- Fluorchinolone sind ebenfalls gegen alle drei gängigen Infektionserreger wirksam.10 
Lesen Sie unten weiter
Im Krankenhaus erworbene Lungenentzündung6 18
Dies ist definiert als eine neue Infektion des Lungenparenchyms, die mehr als 48 Stunden nach der Einlieferung ins Krankenhaus auftritt.
- Sie tritt meist bei Patienten auf, die schwer geschwächt, immungeschwächt oder mechanisch beatmet sind. 
- Eine Infektion, die weniger als fünf Tage nach der Krankenhausaufnahme auftritt, wird in der Regel durch S. pneumoniae verursacht . 
- Infektionen, die nach diesem Zeitpunkt auftreten, werden in der Regel durch H. influenzae, Methicillin-resistenten Staphylococcus aureus (MRSA), Pseudomonas aeruginosa und andere nicht-pseudomonale gramnegative Bakterien verursacht. 
- Eine im Krankenhaus erworbene Lungenentzündung wird häufig durch mehrere Organismen verursacht. 
Differentialdiagnosen
- Lungenödem. 
- Pleuraerguss. 
- Pneumothorax. 
- Lungenembolie. 
- Asthma. 
- COPD. 
- Bronchiektasie. 
- Fibrosierende Alveolitis. 
- Neoplasma. 
- Sarkoidose. 
- Komplikation der Lungenentzündung - z. B. Empyem und Lungenabszess. 
Diagnose der Lungenentzündung (Untersuchungen)6
Bei der Mehrzahl der Patienten, die in der Gemeinde behandelt werden, sind in der Regel keine Untersuchungen erforderlich. Einfache Methoden wie die Pulsoxymetrie können zur Beurteilung der Sauerstoffversorgung und des klinischen Zustands eingesetzt werden.
Wenn ein Patient ins Krankenhaus eingeliefert wird, können die folgenden Untersuchungen zur Diagnose beitragen:
Röntgenaufnahme der Brust
Eine definitive Diagnose der CAP erfordert den Nachweis einer Konsolidierung auf einer Röntgenaufnahme des Brustkorbs (CXR). Daher wird empfohlen, bei allen Patienten, die ins Krankenhaus eingeliefert werden, so schnell wie möglich eine Röntgenaufnahme des Brustkorbs zu machen, idealerweise innerhalb von 4 Stunden nach der Aufnahme.
Blutuntersuchungen
- Vollblutbild mit Differenzialblutbild der weißen Blutkörperchen. 
- C-reaktives Protein (CRP) zur Unterstützung der Diagnose und als Ausgangswert. 
- Harnstoff und Elektrolyte. 
- Leberfunktionstests. 
- Blutkulturen. 
- Arterielle Blutgasanalyse (ABG) 
Andere Tests
- Untersuchung des Sputums und Kultur. 
- Entnahme von Pleuraflüssigkeit (für Biochemie und Kultur). 
- Pneumokokken- und Legionellen-Urin-Antigentests. 
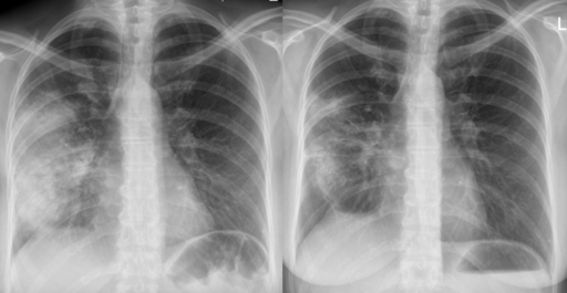
Röntgenbild einer Lungenentzündung vor (links) und nach (rechts) der Antibiotikatherapie
Akute Lungenentzündung

Hellerhoff, CC BY-SA 3.0, über Wikimedia Commons
Komplikationen einer Lungenentzündung
- Pleuraerguss, der normalerweise steril ist. 
- Empyem: Ein reaktiver Erguss kann auftreten, ist aber unbedeutend. Ein Empyem ist potenziell schwerwiegender und äußert sich durch das Fortbestehen von Fieber und Leukozytose nach 4-5 Tagen angemessener Antibiotikatherapie. 
- Lungenabszess: kann durch S. pneumoniae verursacht werden und tritt klassischerweise bei Patienten mit Klebsiella- oder Staphylokokken-Pneumonie auf. 
- Akutes Atemnotsyndrom(ARDS) 
- Pneumatozele. 
- Pneumothorax. 
- Pyopneumothorax, z. B. nach Ruptur eines Staphylokokken-Lungenabszesses in der Pleurahöhle. 
- Tiefe Venenthrombose(DVT). 
- Septikämie, Perikarditis, Endokarditis, Osteomyelitis, septische Arthritis, Hirnabszess und Meningitis (insbesondere bei Pneumokokken-Pneumonie). 
- Postinfektiöse Bronchiektasen. 
- Akute Nierenschädigung. 
Prognose
Die Sterblichkeitsrate bei CAP beträgt weniger als 1 % bei denjenigen, die gesund genug sind, um in der Gemeinschaft behandelt zu werden.19 Die Sterblichkeitsrate bei Patienten, die in ein Krankenhaus eingeliefert werden, beträgt 5-10 % bei Patienten, die nicht auf die Intensivstation müssen, bis zu 25 % bei intubierten Patienten und fast 50 % bei Patienten auf der Intensivstation, die Vasopressoren verabreicht bekommen müssen.20
Legionellen haben den schwersten Verlauf und können eine erhebliche Morbidität verursachen, wenn sie nicht frühzeitig behandelt werden. Eine Meta-Analyse von Patienten, die zwei verschiedene Behandlungssysteme erhielten, ergab, dass die Sterblichkeitsrate bei Patienten, die Chinolone erhielten, bei 4 % lag, während die Sterblichkeitsrate bei Patienten, die Makrolide erhielten, 10,9 % betrug.21
Prävention
Die wichtigsten Präventionsmethoden sind das Management von Risikofaktoren, vor allem durch Impfungen und Raucherentwöhnung.
Impfung
- Nach Angaben der britischen Gesundheitsbehörde sollte Erwachsenen ab 65 Jahren und Risikogruppen (z. B. Personen mit Diabetes, chronischen Atemwegserkrankungen, chronischen Nierenerkrankungen oder Immunsuppression) eine Einzeldosis des 23-valenten Pneumokokken-Polysaccharid-Impfstoffs (PPV23) angeboten werden. 
- Auch Erwachsene ab 65 Jahren und Risikogruppen sollten sich jährlich gegen Grippe impfen lassen, sofern keine Gegenanzeigen vorliegen. 
Raucherentwöhnung
- Zigarettenrauchen, einschließlich Passivrauchen, ist ein unabhängiger Risikofaktor für CAP.22 Daher ist es von entscheidender Bedeutung, die Raucher zu ermutigen, das Rauchen aufzugeben, insbesondere bei Personen mit einem Risiko für eine Lungenentzündung. 
Weiterführende Literatur und Referenzen
- Lungenentzündung bei ErwachsenenNICE Qualitätsstandard, Januar 2016
- Heo JY, Song JYKrankheitslast und ätiologische Verteilung der in der Gemeinschaft erworbenen Lungenentzündung bei Erwachsenen: Die Entwicklung der Epidemiologie in der Ära der Pneumokokken-Konjugatimpfstoffe. Infect Chemother. 2018 Dec;50(4):287-300. doi: 10.3947/ic.2018.50.4.287.
- Torres A, Peetermans WE, Viegi G, et alRisikofaktoren für ambulant erworbene Lungenentzündung bei Erwachsenen in Europa: eine Literaturübersicht. Thorax. 2013 Nov;68(11):1057-65. doi: 10.1136/thoraxjnl-2013-204282.
- Abramowitz J, Thakkar P, Isa A, et alBerichterstattung über unerwünschte Ereignisse bei der Therapie mit Protonenpumpeninhibitoren: An Overview of Systematic Reviews. Otolaryngol Head Neck Surg. 2016 Oct;155(4):547-54. doi: 10.1177/0194599816648298. Epub 2016 May 17.
- Eom CS, Jeon CY, Lim JW, et alVerwendung von säuresuppressiven Medikamenten und Risiko einer Lungenentzündung: eine systematische Überprüfung und Meta-Analyse. CMAJ. 2011 Feb 22;183(3):310-9. doi: 10.1503/cmaj.092129. Epub 2010 Dec 20.
- Durrington HJ, Summers CJüngste Änderungen in der Behandlung der ambulant erworbenen Lungenentzündung bei Erwachsenen. BMJ. 2008 Jun 21;336(7658):1429-33.
- Woodhead M, Blasi F, Ewig S, et alLeitlinien für die Behandlung von Infektionen der unteren Atemwege bei Erwachsenen - Zusammenfassung. Clin Microbiol Infect. 2011 Nov;17 Suppl 6:1-24. doi: 10.1111/j.1469-0691.2011.03602.x.
- Lungenentzündung: Diagnose und Behandlung von ambulant und im Krankenhaus erworbener Lungenentzündung bei ErwachsenenNICE Clinical Guideline (Dezember 2014 - letzte Aktualisierung Oktober 2023)
- Oosterheert JJ, Bonten MJ, Schneider MM, et alWirksamkeit einer frühen Umstellung von intravenösen auf orale Antibiotika bei schwerer ambulant erworbener Lungenentzündung: multizentrische randomisierte Studie. BMJ. 2006 Dec 9;333(7580):1193. doi: 10.1136/bmj.38993.560984.BE. Epub 2006 Nov 7.
- Kommentierte BTS-Leitlinie für die Behandlung von CAP bei ErwachsenenBritish Thoracic Society (2009 - Zusammenfassung der Empfehlungen, aktualisiert 2015)
- Yang M, Yan Y, Yin X, et alPhysiotherapie der Brust bei Lungenentzündung bei Erwachsenen. Cochrane Database Syst Rev. 2013 Feb 28;(2):CD006338. doi: 10.1002/14651858.CD006338.pub3.
- Lungenentzündung (in der Gemeinschaft erworben): Verschreibung antimikrobieller MittelNICE-Richtlinien (September 2019)
- Leitlinien für die Behandlung von Infektionen der unteren Atemwege bei ErwachsenenEuropäische Gesellschaft für Atemwegserkrankungen und Europäische Gesellschaft für klinische Mikrobiologie und Infektionskrankheiten (September 2011)
- Arnold FW, Summersgill JT, Ramirez JADie Rolle atypischer Erreger in der Ätiologie der in der Gemeinschaft erworbenen Lungenentzündung. Semin Respir Crit Care Med. 2016 Dec;37(6):819-828. doi: 10.1055/s-0036-1592121. Epub 2016 Dec 13.
- Bjarnason A, Westin J, Lindh M, et alInzidenz, Ätiologie und Ergebnisse der in der Gemeinschaft erworbenen Lungenentzündung: Eine bevölkerungsbasierte Studie. Open Forum Infect Dis. 2018 Feb 8;5(2):ofy010. doi: 10.1093/ofid/ofy010. eCollection 2018 Feb.
- Waites KB, Xiao L, Liu Y, et alMycoplasma pneumoniae aus dem Respirationstrakt und darüber hinaus. Clin Microbiol Rev. 2017 Jul;30(3):747-809. doi: 10.1128/CMR.00114-16.
- Choroszy-Krol I, Frej-Madrzak M, Hober M, et alInfektionen, die durch Chlamydophila pneumoniae verursacht werden. Adv Clin Exp Med. 2014 Jan-Feb;23(1):123-6.
- Brady M und andereLegionärskrankheit (Legionella-Infektion), 2019
- Sharaby Y, Nitzan O, Brettar I, et alEmpfindlichkeit von Legionella pneumophila MLVA-8 Genotypen gegenüber antimikrobiellen Wirkstoffen. Sci Rep. 2019 Apr 16;9(1):6138. doi: 10.1038/s41598-019-42425-1.
- Lungenentzündung (im Krankenhaus erworben): Verschreibung von antimikrobiellen MittelnNICE-Richtlinien (September 2019)
- Leitlinien für die Behandlung der ambulant erworbenen Lungenentzündung bei ErwachsenenBritish Thoracic Society (2009), Thorax Vol 64 Sup III
- Restrepo MI, Faverio P, Anzueto ALangzeitprognose bei ambulant erworbener Lungenentzündung. Curr Opin Infect Dis. 2013 Apr;26(2):151-8. doi: 10.1097/QCO.0b013e32835ebc6d.
- Burdet C, Lepeule R, Duval X, et alChinolone im Vergleich zu Makroliden bei der Behandlung von Legionellose: eine systematische Überprüfung und Meta-Analyse. J Antimicrob Chemother. 2014 Sep;69(9):2354-60. doi: 10.1093/jac/dku159. Epub 2014 May 14.
- Lim WS, Baudouin SV, George RC, et alBTS-Leitlinien für die Behandlung der ambulant erworbenen Lungenentzündung bei Erwachsenen: Update 2009. Thorax. 2009 Oct;64 Suppl 3:iii1-55. doi: 10.1136/thx.2009.121434.
Lesen Sie unten weiter
Artikel Geschichte
Die Informationen auf dieser Seite wurden von qualifizierten Klinikern verfasst und von Fachleuten geprüft.
- Nächste Überprüfung fällig: 23. Juni 2027
- 24 Jun 2024 | Neueste Version

Fragen, teilen, verbinden.
Stöbern Sie in Diskussionen, stellen Sie Fragen, und tauschen Sie Erfahrungen zu Hunderten von Gesundheitsthemen aus.

Fühlen Sie sich unwohl?
Beurteilen Sie Ihre Symptome online und kostenlos